rezonans głowyZabiegi wykonywane

OPONIAKI, GUZY WEWNĄTRZCZASZKOWE I GUZY MÓZGU.

Od wielu lat zajmuję się chirurgia oponiaków wewnątrzczaszkowych o różnych lokalizacjach. Wiele z tych guzów pomimo swojej naturalnej łagodności stanowi wyzwanie dla neurochirurga z powodu lokalizacji, wywoływanych objawów czy rozmiarów guza.

PONIŻEJ PREZENTACJA LECZONYCH PRZYPADKÓW:

 

GUZY POWODUJĄCE ZABURZENIA WIDZENIA

OPERACJE GUZÓW PODSTAWY CZASZKI – GUZÓW POWODUJĄCYCH ZABURZENIA WIDZENIA.

  • GUZY OKOLICY NERWÓW WZROKOWYCH,
  • GUZY OKOLICY SKRZYŻOWANIA NERWÓW WZROKOWYCH,
  • GUZY OCZODOŁU.

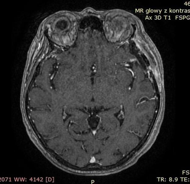
Przypadek 40 letniej kobiety tracącej wzrok z powodu guza okolicy skrzyżowania nerwów wzrokowych. Długotrwały ucisk spowodował postępujące zaburzenia widzenia okiem prawym. Guz okazał się łagodnym oponiakiem i został usunięty całkowicie. Operacja mikrochirurgiczna – tylko w technice mikroskopowej - nie można takiego guza naświetlać z uwagi na lokalizacje przy nerwach wzrokowych. Po operacji stan pacjentki doskonały, nastąpiła poprawa widzenia z 0.1 do 0.8 w oku prawym w ciągu 3 miesięcy. Następnie powrót do pracy. Usunięcie całkowite łagodnego guza pozwoliło uratować wzrok pacjentki.

 

PONIŻEJ BADANIA PRZEDOPERACYJNE ORAZ PODCZAS OPERACJI

zdjecie-1-przedoperacyjne-w-paszczyznie-strzakowej-
zdjecie-2-przedoperacyjne-w-paszczyznie-czoowej
zdjecie-3-przedoperacyjne-w-paszczyznie-czoowej-
zdjecie-4-przedoperacyjne-w-paszczyznie-poziomej-
zdjecie-5-przedoperacyjne-w-paszczyznie-poziomej-
zdjecie-6-podczas-operacji--mikroskop-widoczny-uratowany-nerw-wzrokowy-y--
zdjecie-7-podczas-operacji--mikroskop-widoczny-uratowany-nerw-wzrokowy-y--
zdjecie-8-podczas-operacji--mikroskop-widoczny-uratowany-nerw-wzrokowy-ie-
 
 

KONTROLA REZONANSU MAGNETYCZNEGO PO 3 MIESIĄCACH

GUZ USUNIĘTO CAŁKOWICIE, OPONIAK ŁAGODNY PRZEPONY SIODŁA TURECKIEGO, FUNKCJE ENDOKRYNOLOGICZNE PRZYSADKI PRAWIDŁOWE. WIDZENIE - DIAMETRALNA POPRAWA.

 

zdjecie-9-pooperacyjne-w-paszczyznie-strzakowej--guz-usuniety-w-centrumozgowa
zdjecie-10-pooperacyjne-w-paszczyznie-czoowej--guz-usuniety-
zdjecie-11-pooperacyjne-w-paszczyznie-czoowej--guz-usuniety-w-centrumzgowa-
zdjecie-12-pooperacyjne-w-paszczyznie-poziomej--guz-usuniety-cakowicie-
zdjecie-13-pooperacyjne-w-paszczyznie-poziomej-guz-usuniety-
zdjecie-14-pooperacyjne-w-paszczyznie-poziomej-kolejna-warstwa--guz-usuiety-
 

 

GUZY SKRZYDŁA KOŚCI KLINOWEJ I GUZY OKOLICY OCZODOŁU

Guzy te mają tzw. przyczep w obrębie opony skrzydła kości klinowej. Często przerastają sąsiednie struktury anatomiczne takie jak: ściana oczodołu, szczelina oczodołowa, zatoka jamista, okolica skrzyżowania.
Usunięcie całkowite guza i zapobieganie wznowie guza to także usunięcie np. ściany oczodołu czy dostęp do zatoki jamistej -stanowi to dodatkowe wyzwanie.
Prezentowany przypadek pacjentki z guzem skrzydła kości klinowej. Początek mało charakterystyczny - bóle głowy trwające kilkanaście miesięcy o znacznym nasileniu, następnie bóle okolicy skroniowej i okolicy oczodołu.
Pacjentka była operowana, guz usunięto całkowicie. W badaniu histopatologicznym łagodny oponiak.

PONIŻEJ BADANIA PRZEDOPERACYJNE ORAZ KONTROLA POOPERACYJNA.  

zdjecie-czaszki-02
zdjecie-czaszki-01
zdjecie-czaszki-03
zdjecie-czaszki-04
zdjecie-czaszki-06
zdjecie-czaszki-05
zdjecie-czaszki-07
zdjecie-czaszki-08
zdjecie-czaszki-09
 

 

GUZY SKRZYDŁA KOŚCI KLINOWEJ I GUZY OKOLICY OCZODOŁU.

Lokalizacja guza w lewej okolicy czołowo – skroniowej z przyczepem do skrzydła lewej kości klinowej spotykana u pacjentów 70 ( + ) .
Guzy usuwane całkowicie z zachowaniem wszystkich funkcji mowy. Guz naciekał ścianę oczodołu lewego został wraz ze ścianą usunięty. W badaniach histopatologicznych – łagodne oponiaki.

PONIŻEJ DOKUMENTACJA ZDJĘCIOWA PRZEDOPERACYJNA

rentgen-czaszki-02
rentgen-czaszki-01
rentgen-czaszki-03
rentgen-czaszki-04
rentgen-czaszki-05
 

DOKUMENTACJA POOPERACYJNA. USUNIECIE GUZA CAŁKOWITE

zdjecie-pooperacyjne-02
zdjecie-pooperacyjne-01
zdjecie-pooperacyjne-03
zdjecie-pooperacyjne-04
zdjecie-pooperacyjne-05
 

 

OPONIAKI DUŻYCH ROZMIARÓW I OPONIAKI OLBRZYMIE

Od wielu lat zajmuję się chirurgią oponiaków wewnątrzczaszkowych o różnych lokalizacjach oraz rozmiarach. W grupie operowanych przypadków znalazły się także oponiaki dużych rozmiarów i oponiaki olbrzymie. Guzy te potrafią rosnąć powoli. Wielokrotnie objawy kliniczne przez wiele lat są niespecyficzne - tylko bóle głowy!!! Początkiem przyspieszonej diagnostyki bywa pierwszy w życiu napad padaczkowy. Tak było w grupie prezentowanych przypadków dużych/olbrzymich oponiaków. Wiele z tych guzów pomimo swojej naturalnej łagodności stanowi poważne wyzwanie operacyjne. Operacja oponiaka – to działanie operacyjne wobec guza rosnącego zewnątrzmózgowo, wielogodzinne spokojne oddzielanie i usuwanie „żeby mózg o tym nie wiedział”

Poniżej przedstawiono grupę operowanych pacjentów.

Pacjent pierwszy - Guz usunięty całkowicie, guz łagodny. Pacjent w stanie dobrym, bez objawów neurologicznych – wypisany do domu.

 

Przed operacją

Zdjcie-1a-Badanie---olbrzymi-guz-pzred-operacj--projekcja-strzakowa
Zdjcie-1-Badanie---olbrzymi-guz-pzred-operacj--projekcja-strzakowa
Zdjcie-2-Badanie---olbrzymi-guz-pzred-operacj--projekcja-strzakowa
Zdjcie-2a-Badanie---olbrzymi-guz-pzred-operacj--projekcja-strzakowa
Zdjcie-5--Badanie---olbrzymi-guz-pzred-operacj--projekcja-czoowa
Zdjcie-6-Badanie---olbrzymi-guz-pzred-operacj--projekcja-czoowa
Zdjcie-7-Badanie---olbrzymi-guz-pzred-operacj--projekcja-pozioma
Zdjcie-8-Badanie---olbrzymi-guz-pzred-operacj--projekcja-pozioma
Zdjcie-10-Badanie---olbrzymi-guz-pzred-operacj--projekcja-pozioma
Zdjcie-9-Badanie---olbrzymi-guz-pzred-operacj--projekcja-pozioma
Zdjcie-3-Badanie---olbrzymi-guz-pzred-operacj--projekcja-strzakowa
Zdjcie-4-Badanie---olbrzymi-guz-pzred-operacj--projekcja-czoowa

 

Kontrola pooperacyjna kilka miesięcy po operacji

 

Zdjcie-21-Badanie-po-operacji---guz-usuniety-cakowicie--badanie-z-konozioma
Zdjcie-11-Badanie-po-operacji---guz-usuniety--badanie-z-kontrastem---przonans
Zdjcie-12-Badanie-po-operacji---guz-usuniety--badanie-z-kontrastem---pzonans
Zdjcie-17-Badanie-po-operacji---guz-usuniety-cakowicie--badanie-z-kon-guzie
Zdjcie-18-Badanie-po-operacji---guz-usuniety-cakowicie--badanie-z-konozioma
Zdjcie-20-Badanie-po-operacji---guz-usuniety-cakowicie--badanie-z-konozioma
Zdjcie-19-Badanie-po-operacji---guz-usuniety-cakowicie--badanie-z-konozioma
Zdjcie-14-Badanie-po-operacji---guz-usuniety-cakowicie--badanie-z-konakowa
Zdjcie-13-Badanie-po-operacji---guz-usuniety-cakowicie--badanie-z-konakowa
Zdjcie-15-Badanie-po-operacji---guz-usuniety--badanie-z-kontrastem---przonans
Zdjcie-16-Badanie-po-operacji---guz-usuniety-cakowicie--badanie-z-kon-guzie

 

Tak jak napisałem guzy - oponiaki potrafią rosnąć powoli nie dając żadnych objawów, mózg dostosowuje się do utraty rezerwy wewnątrzczaszkowej dlatego, że proces przebiega powoli. Początkowym objawem był pierwszy w życiu napad padaczkowy. Potem diagnostyka – rezonans magnetyczny i operacja oponiaka. Działanie operacyjne wobec guza rosnącego zewnątrzmózgowo, wielogodzinne spokojne oddzielanie i usuwanie „żeby mózg o tym nie wiedział”

Poniżej prezentacja badan diagnostycznych:

  • Ryc 1-7 – badania diagnostyczne przedoperacyjne,
  • Ryc 8-13 – badania po operacji.     

Pacjentka przyjęta nieprzytomna po napadzie padaczkowym – podczas operacji guz został usunięty całkowicie, miał charakter łagodny. Pacjentka w stanie dobrym, bez objawów neurologicznych – wypisana do domu.

           


 

Konflikt naczyniowo - nerwowy

Konflikt naczyniowo – nerwowy. Neuralgia nerwu trójdzielnego. Bole twarzy. Trigeminal neuralgia. Skurcze- tiki twarzy. Połowiczy skurcz twarzy. Hemifacial spasm.


Konflikt naczyniowo – nerwowy ( neurovascular conflict ) dotyczy nieprawidłowych relacji anatomicznych pomiędzy naczyniami i nerwami czaszkowymi wewnątrz czaszki. Dochodzi do nadmiernego przylegania i uciskania pnia nerwu czaszkowego lub strefy wejścia nerwu przez naczynie krwionośne. Diagnostyka konfliktu obejmuje badanie kliniczne oraz wykonanie rezonansu magnetycznego w opcjach naczyniowych oraz z kontrastem . Konflikt naczyniowo – nerwowy może wywoływać dolegliwości neurologiczne o typie neuralgii- zespoły bólowe w obrebie twarzy - najczęściej jest to neuralgia nerwu trójdzielnego ( trigeminal neuralgia ) bol o bardzo dużej intensywności i bardzo trudny do opanowania farmakologicznego. Konflikt naczyniowo – nerwowy może być także przyczyna mimowolnych tików, skurczów połowy twarzy ( hemifacial spasm ). Obydwie dolegliwości mogą być leczone neurochirurgicznie na poziomie przyczyny. Procedura - odbarczenie naczyniowo – nerwowe (microneurovascular decompression MVD ) zapewnia leczenie wewnątrzczaszkowej przyczyny dolegliwości i polega na odbarczeniu i izolacji elementów konfliktu.

#neurovascular conflict #trigeminal neuralgia #hemifacial spasm #micro vascular decompression # microsurgical procedure #neurosurgical procedure #

 

Obrazy śródoperacyjne spod mikroskopu - widoczny konflikt naczynia i nerwu, zrost i przyleganie

Zdjecie-1-trigeminal-neuralgia
Zdjecie-2-trigeminal-neuralgia
Zdjecie-3-trigeminal-neuralgia

 

Obrazy śródoperacyjne spod mikroskopu – mikrochirurgiczne oddzielenie , preparowanie naczynia żylnego i tętniczego od nerwu i strefy wejścia nerwu do pnia – dekompresja i uwolnienie ze zrostów.

Zdjecie-5-Trigeminal-neuralgia-preparatyka-zrostow
Zdjecie-4-Trigeminal-neuralgia-preparatyka-zrostow
Zdjecie-6-Trigeminal-neuralgia-preparatyka-zrostow

 

Obrazy śródoperacyjne – izolacja za pomocą specjalnego włóknistego materiału.

Zdjcie-7-Materia-izolacyjny-w-trakcie-stosowania-podczas-operacji-
Zdjecie-8-Materia-izolacyjny-wprowadzony-pomiedzy-naczynia-i-nerw-w-celu-izolacji-

 

Neuralgia nerwu trójdzielnego


 

Mikrochirurgiczne leczenie neuralgii nerwu trójdzielnego


 

Jeśli masz pytania, kliknij przycisk i napisz do nas za pomocą prostego formularza kontaktowego.

Czytaj więcej